-
男子穿人字拖走几步就掉 近6厘米脑膜瘤在作怪
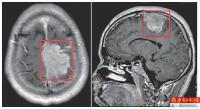
今年30出头的小王(化名),平时很爱穿人字拖,可就在去年底,小王穿起人字拖来开始不得劲了——人往前走了,人字拖却还在原地,每走几步右脚就夹不住拖鞋了,脚底还有麻木感。这种情况持续了几个月,小王的症
-
广告
今年30出头的小王(化名),平时很爱穿人字拖,可就在去年底,小王穿起人字拖来开始不得劲了——人往前走了,人字拖却还在原地,每走几步右脚就夹不住拖鞋了,脚底还有麻木感。这种情况持续了几个月,小王的症