‌·

男子穿人字拖走几步就掉 近6厘米脑膜瘤在作怪

医生提醒,脑膜瘤通常为良性肿瘤,手术切除是首选

来源:南方都市报     2024年05月10日        版次:NA07    作者:李榕

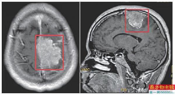
  磁共振显示的巨大肿瘤已达5.6厘米。

  治疗团队用少见的半卧位手术体位顺利完成手术。

  今年30出头的小王(化名),平时很爱穿人字拖,可就在去年底,小王穿起人字拖来开始不得劲了——人往前走了,人字拖却还在原地,每走几步右脚就夹不住拖鞋了,脚底还有麻木感。这种情况持续了几个月,小王的症状越来越严重,整条右腿都使不上劲儿了,于是来到深圳市龙华区人民医院神经外科就诊。

  在医院做头颅磁共振检查提示:“左侧顶部颅内脑外实性肿块,压迫上矢状窦”,也就是说小王的脑袋里长了个矢状窦旁脑膜瘤,直径达5.6cm。而小王之所以走路会“掉鞋”,就是因为肿瘤压迫到了神经,导致肢体偏瘫、感觉障碍。龙华区人民医院神经外科主任刘诤告诉他,只能手术切除。近日,刘诤带领团队成功切除肿瘤,术后小王恢复良好,目前已痊愈出院。

  大脑长巨大肿瘤

  操作不慎易引发大出血 

  脑膜瘤是一种常见的中枢神经系统原发性肿瘤,占颅内肿瘤的15%~20%,好发于中年女性,平均高发年龄为45岁。它们起源于脑膜,即大脑和脊髓表面的覆膜。脑膜瘤通常为良性肿瘤,可以发生在任何有硬脑膜的地方,最常见的部位包括矢状窦旁、大脑凸面、蝶骨嵴、鞍结节等。

  要解决小王的问题,就需要手术切除肿瘤。刘诤介绍,给这名患者做手术,有两大风险点和难点。一个是位置特殊,肿瘤位于右侧矢状窦旁、中央前回前部,临近功能区,术中容易损伤矢状窦引起大出血、引流静脉损伤致弥漫性脑水肿、术后有大小便功能障碍及肢体偏瘫等可能性,手术风险较大。

  另一个难点则是,肿瘤大。脑膜瘤的大小可以通过其直径进行分类:直径小于2厘米属于小脑膜瘤;直径介于2至4厘米之间属于中等脑膜瘤;直径大于4厘米属于大脑膜瘤。巨大脑膜瘤的生长速度快,供血情况复杂,在剥离时必须小心翼翼,稍有不慎就会大出血。

  半卧位手术体位完全切除

  患者已回归正常生活  

  小王还年轻,是家庭劳动主力,他和家人都非常担心手术风险及预后,刘诤科耐心、仔细、全面地把手术过程、围手术期手术并发症、术后康复及预后等情况告知家属。最终,小王与家属商议后,决定接受手术。

  经过充分的术前准备后,刘诤带领团队为患者手术。因术中见肿物血运丰富,造成矢状窦闭塞,伴多支粗大引流静脉。

  为了获取更好的视野,更完整将肿瘤剥离,刘诤采用少见的半卧位手术体位,凭着精湛的手术技艺,沉着冷静,娴熟操刀,顺利完成Simpson I级切除肿瘤并行颅骨复位,术后复查头颅磁共振证实肿瘤完全切除。目前,小王已顺利出院回归正常生活。

  据悉,脑膜瘤通常为良性肿瘤,可以发生在任何有硬脑膜的地方,最常见的部位包括矢状窦旁、大脑凸面、蝶骨嵴、鞍结节等。手术切除是脑膜瘤治疗的首选,侵袭静脉窦的脑膜瘤全切难度大。随着技术的进步,龙华区人民医院神经外科能通过显微外科手术治疗颅内各部位肿瘤、椎管内肿瘤、脑动脉瘤、脑血管畸形等。

  采写:南都记者 李榕 通讯员范少平 廖静文 通讯员供图

手机看报
分享到:
返回奥一网 意见反馈