‌·

五旬男子脑动静脉破裂出血 医生极速“拆弹”

医生:如有“爆炸式”头痛或嗜睡、昏迷等典型症状须及时就医

来源:南方都市报     2025年06月26日        版次:NA07    作者:谢萌

  医生给患者手术。 通讯员供图

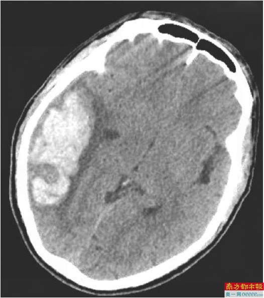
  患者术前影像。 通讯员供图

  近日,57岁的大叔突发右侧枕叶动静脉畸形破裂出血,这是脑血管病致死“头号杀手”。南方科技大学医院神经外科专家化身“拆弹专家”,极速为患者拆除“炸弹”,挽救患者生命。目前患者恢复良好。无遗留肢体功能障碍。“当时每一秒都像在和死神拔河!”回忆起抢救病人的惊险一幕,南方科技大学医院神经外科团队如此形容。

  脑血管病致死“头号杀手”  

  南科大医院神经外科主任鲁春鹤介绍,患者当时右侧顶枕颞叶脑出血量高达约40mL,右侧大脑半球脑水肿、大脑镰下疝接踵而至,生命体征急速恶化,大脑里破裂的血管如同随时可能引爆的“定时炸弹”,情况岌岌可危。

  危急时刻,医院神经外科手术团队火速响应,启动急救绿色通道。鲁春鹤带领团队,化身“拆弹专家”,凭借精湛的医术和丰富的经验,在复杂的脑血管结构中“抽丝剥茧”,精准定位畸形血管团。手术完整切除畸形血管团、彻底清除血肿,成功为患者拆除致命“炸弹”。术后24小时,患者清醒,各项生命体征逐渐平稳。

  脑动静脉畸形(AVM)病变深在复杂,治疗难度极大,是脑血管病致死的“头号杀手”。此次成功救治,不仅展现了南方科技大学医院神经外科的综合实力,也彰显了医院多学科协作产生的巨大能量。  

  切忌擅自喂水、喂药或按压人中  

  鲁春鹤介绍,AVM多为先天性血管发育异常,虽无法完全预防,但可通过以下方式降低风险。

  定期体检:头痛/癫痫家族史者,定期做头部CT/MRI,早发现病灶;

  控制基础病:高血压患者严格管理血压,避免剧烈波动;

  健康生活:忌剧烈运动、情绪激动及过度劳累,减少血管破裂诱因。

  如有人出现突发“爆炸式”头痛,伴恶心、呕吐;单侧麻木、无力,无法站立或持物;说话含糊、理解困难或无法表达;嗜睡、昏迷,瞳孔大小不等等脑出血的典型症状,须让患者平卧,避免搬动,减少头部震动;患者呕吐时头偏向一侧,清除口腔异物,防窒息;快速拨打120送医,告知症状,优先选有神经外科急救能力的医院。鲁春鹤提醒,切忌错误操作,如擅自喂水、喂药或按压人中,避免患者加重病情。

  采写:南都记者 谢萌 通讯员 熊锴 韩琦岩

手机看报
分享到:
返回奥一网 意见反馈