‌·

吵架生气就可能引爆的人体“不定时炸弹”

南方医科大学深圳医院成功为27岁女子切除巨大主动脉瘤

来源:南方都市报     2021年07月08日        版次:NA08    作者:李榕

  吵架生气、上个大号、赶个公交、爬层楼梯就可能引爆的人体“不定时炸弹”,深圳90后小茹最近不幸查出体内长了一个大青芒一般的瘤子,医生说这虽然不是肿瘤,却比肿瘤更凶险,随时会危及生命。可她跑了多家医院都说做不了。这究竟是什么“不定时炸弹”,为什么这么难治呢?

  

女子煲剧突发胸痛 体内查出巨大主动脉瘤

  

  “她从小到大身体非常好,连感冒都很少,生病的次数十个手指头就能数清。”小茹的妈妈说,怎么也想不到,这次会查出那么大的病。

  小茹很年轻,今年才27岁,一个月前的一个周末,她像往常一样在电脑前煲剧,一看就是四个小时,之后就开始觉得胸闷,继而有刺痛感,她以为是坐太久了,就起来活动一下筋骨,胸闷胸痛的情况果然缓解了。

  可是之后的一两周内,她反复出现同样的症状,痛的地方也都一样,在两侧锁骨中间,范围是半个巴掌大小,她摸着,好像有块肿物,在“突突”地跳动。于是她到医院检查,被诊断体内有个巨大主动脉瘤。她和家人顿时懵了。

  

血压一旦升高 “不定时炸弹”危及生命

  

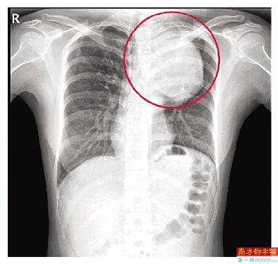
  “患者的胸主动脉瘤非常大,位于主动脉弓降部,它会像吹气球一样,越长越大。正常人的主动脉弓部只有香肠那么大,而患者的主动脉瘤直径达75mm,已经有大青芒那么大了,是正常人的5倍,瘤子像一条蟒蛇一样,从颈部长到膈肌,深入隐藏在患者体内。”南方医科大学深圳医院心脏与血管外科主任杨建安说。

  医生说,主动脉瘤不是肿瘤,没有良、恶之分,通俗地讲就是血管上的瘤子,其实是体内主动脉某部分血管壁出现病理性扩张,向外“瘤样”膨出,扩张程度一般超过正常血管的50%。但是巨大的主动脉瘤比肿瘤更凶险,因为主动脉是全身最大的动脉,是输送血液的“主干道”,心脏泵出的血液都要经过主动脉输送到各脏器及全身毛细血管。一旦主动脉瘤破裂,势必危及生命,因此主动脉瘤常被称为人体的“不定时炸弹”。

  小茹的胸主动脉瘤已经是正常人的5倍,血管壁已经被撑得很薄,管壁只有1mm,随时可能破裂,血压一旦升高,比如生气、解大便、跑步等,都可能引起瘤子破裂,必须马上拆弹。

  

动脉瘤险破裂 置换人造血管成功“拆弹”

  

  这个“拆弹”手术是一种难度极高的手术,技术要求高,手术时间长,风险也大,需要多学科合作,省内仅有少数大医院能够独立开展。辗转省内、市内多家医院,小茹终于在南方医科大学深圳医院安排上了手术。

  在麻醉科、影像科、输血科等兄弟科室的大力支持下,心脏与血管外科展开了惊心动魄的手术。杨建安凭借丰富的手术经验,成功拆除“不定时炸弹”,经过一段时间的康复,小茹目前已经出院。

  

  科普

  动脉粥样硬化是主因 拍个片子可避险

  胸主动脉瘤多发病于50-60岁,男性多见,可单独发生,也能同时合并腹主动脉瘤。每年10万人中发病率约为5.6至10.4人,近年来因人口老龄化和检查方法的进步,发病率有增加趋势。

  像小茹这么年轻的患者极少见,她的病因是先天性主动脉折叠引起的瘤变,医生说,这个病因比较罕见,胸主动脉瘤的主要病因是退行性变和动脉粥样硬化,老年化引起血管壁内的胶原蛋白、弹力蛋白改变,最终导致动脉血管壁变得脆弱易扩张;动脉粥样硬化会影响血管内皮功能,引起耐受血管内压力的能力降低。动脉粥样硬化的相关危险因素主要为高血压、高脂血症、吸烟。

  另一种常见病因是遗传性结蹄组织病,如马凡综合征,这类的患者的结缔组织松软,不仅影响主动脉壁导致主动脉瘤,也可影响骨骼肌肉导致身体纤细修长、关节活动过度,常在40岁以下就出现主动脉瘤等并发症,而且预后一般也较差。此外还有先天性的主动脉疾病,如主动脉狭窄、主动脉折叠综合征(也叫假性主动脉狭窄)、主动脉瓣二瓣化畸形等,以及另外的少见病因如大动脉炎、感染性疾病。

  胸主动脉瘤患者早期一般无症状,可心脏超声、胸片等影像学检查偶然发现,而最常见症状是疼痛,这种疼痛可是急性的,一般提示即将破裂或形成夹层;也可以是因为压迫、扩张引起的慢性疼痛。

  医生建议,每年应该进行一次全面的身体检查,特别是40岁以上的人群建议每年体检做一次胸部、腹部、超声或CT的检查,提早发现身体的安全隐患,做到早发现,早治疗。血管疾病虽然偏爱老年人,但年轻也不是万能护身符,一旦出现不明原因的血压升高、胸部疼痛、肢体发凉、活动后疲劳、摸不到脉搏等,都可能是血管疾病的表现,应该尽快到医院检查,排除主动脉瘤的可能。

手机看报
分享到:
返回奥一网 意见反馈